At Mont Dental Aesthetics, we like to focus on preventive care, but our dentist and team also do outstanding cosmetic and restorative dentistry and can help you enjoy the smile you have always wanted. In our smile gallery, you can see examples of our dental treatments in San Francisco, California. You can call 415-398-6344 for your appointment with Dr. Alireza Khoshvaghti.
Dental Implants
Replacing front teeth with dental implants
Before
After
Before
After
Before
After
Before
After
Before
After
Replacing back teeth with dental implants
Before
After
Replacing posterior missing teeth and gum with dental implant bridge
Before
After
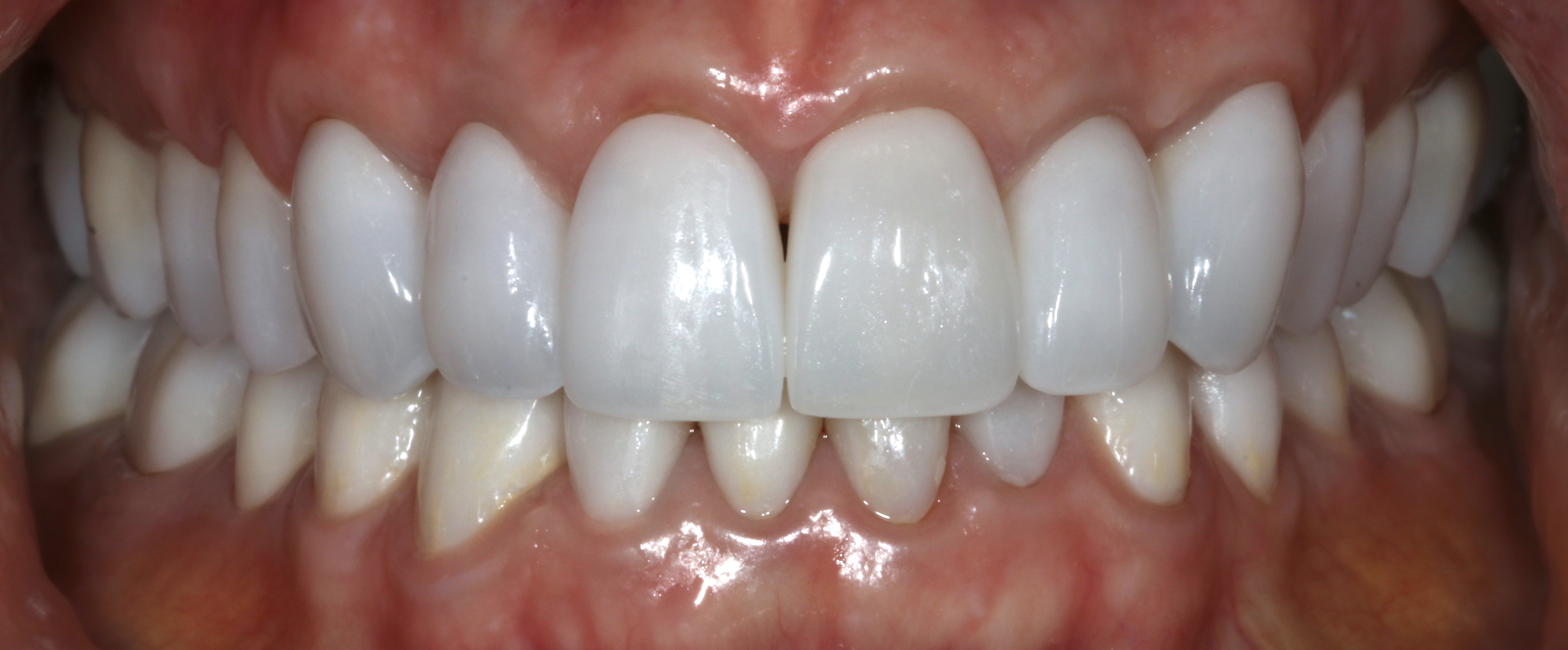
Crowns & Veneers
Porcelain Crowns on the front teeth
Before
After
Before
After
Before
After
Before
After
Porcelain crowns and dental implant crowns along with gum lift
Before
After
Porcelain veneers on the six lower front teeth
Before
After
Resin Bonded Veneers ON three lower front teeth
Before
After
Teeth Colored Fillings
Before
After
Before
After
Before
After
Full Mouth Restoration
Case #1: Porcelain crowns, bridge, veneers and dental implants
Before
After
Case #2: Porcelain Crowns and Veneers
Before
After
Case #3: Porcelain crowns, veneers, dental implants and gum lift
Before
After
Case #4: Combination of porcelain crowns and veneers after orthodontic treatment to treat severely worn and damaged teeth
Before
After
Case #5: Combination of porcelain crowns, bridge, and dental implants to treat severely worn teeth and to replace missing teeth
Before
After
Temporary crowns and veneers
Case #1: Temporary crowns and veneers on full mouth rehabilitation
Before
After
Case #2: Temporary crowns and veneers on full mouth rehabilitation
Before
After
Dentures
Fixed Implant Supported Complete Dentures (all-On-X)
Before
After
Before
After
Removable Dentures
Case#1: Combination of crowns, veneers, and upper & lower removable partial denture
Before
After
Case#2: Upper & lower removable complete denture
Before
After
Porcelain Inlays & Onlays
Before
After