Dr. Alireza Khoshvaghti is proud to continue our practice’s legacy of over 40 years of service. He and our team are committed to caring for each patient who comes through our doors as a person first and foremost. Our dentist and prosthodontist in San Francisco, CA, work hard to make sure our dental office is comfortable and a place you will want to come back to! You are in good hands with our experienced San Francisco dentist and team.
Meet Dr.
Alireza Khoshvaghti
“Dr. Khosh”
Our Exceptional Services
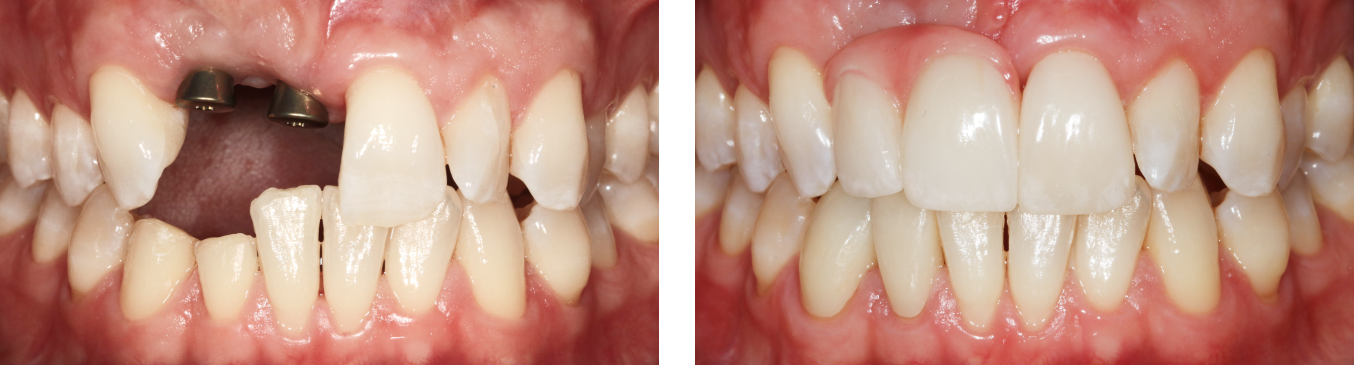
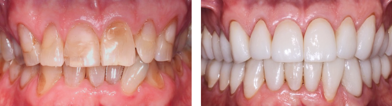
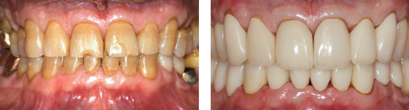
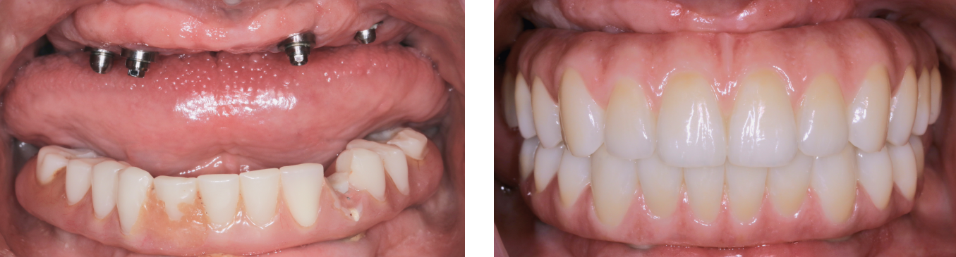
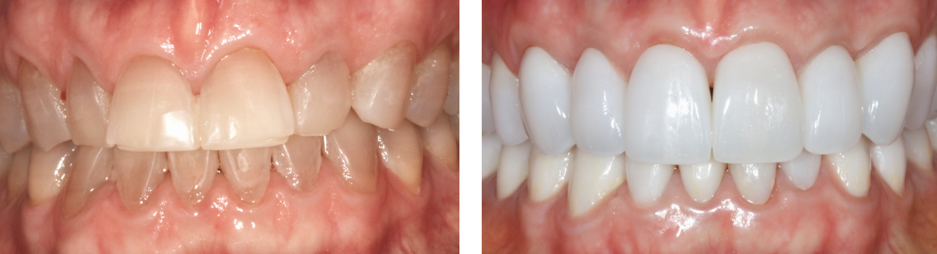
General, Cosmetic, And Implant Dentistry
New Patients Welcome!
Our New Patient Special
We love welcoming new patients to our practice, and to say thank you, we are offering a special price on our new patient visits. Come in today and receive $463 off an exam, X-rays, and cleaning! We also offer complimentary consultations and second opinions. If you have questions about your smile, please contact us today to learn more and get started!
Check Out Our Five-Star Reviews
Get Started Today
Request AppointmentContact Us
You deserve to have a healthy and beautiful smile, and our dentist and team are ready to help you reach your goals. We are easily accessible by BART, and parking is a cinch in and around our building. If you have any questions about coming into our office or what your smile needs, do not hesitate to reach out. We are here for you!
260 Stockton Street, 5th Floor, San Francisco, CA 94108




