Before & After Cases

At Mont Dental Aesthetics, we like to focus on preventive care, but our dentist and team also do outstanding cosmetic and restorative dentistry and can help you enjoy the smile you have always wanted. In our smile gallery, you can see examples of our dental treatments in San Francisco, California. You can call 415-398-6344 for your appointment with Dr. Alireza Khoshvaghti.


Dental Implants, Crowns & Veneers, Teeth Colored Fillings, Full Mouth Reconstruction,Temporary Crowns and Veneers

Fixed Implant Supported Complete Dentures (All- On-X), Dentures, Removable Dentures, Porcelain Inlays Onlays.

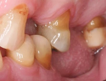
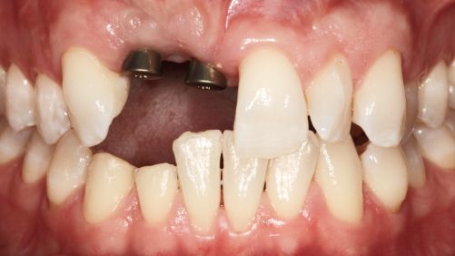
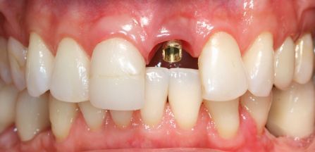
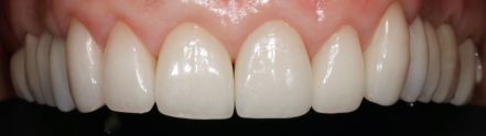
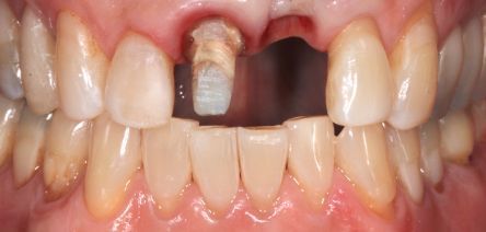
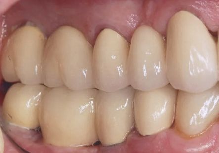
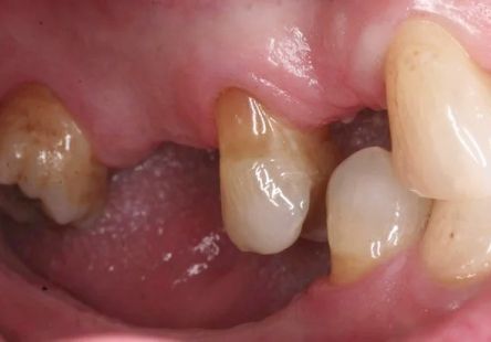
Dental Implant

Before

After

Before

After

Before

After

Before

After

Before

After

Before

After

Before

After

Replacing back teeth with

dental implants

Replacing back teeth with dental implants

Before

After

Before

After

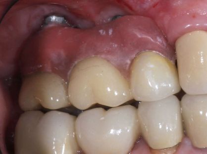
Replacing posterior missing teeth and gum with dental implant bridge

Before

After

Before

After

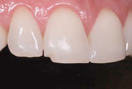
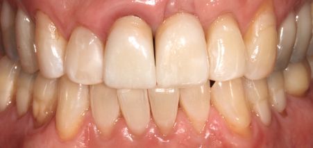
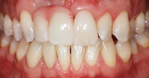
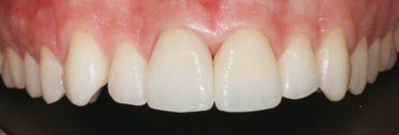
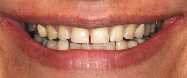
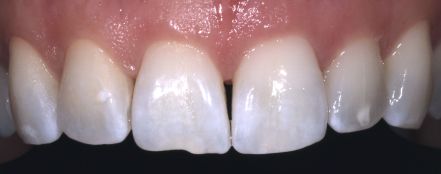
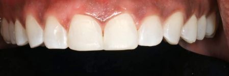
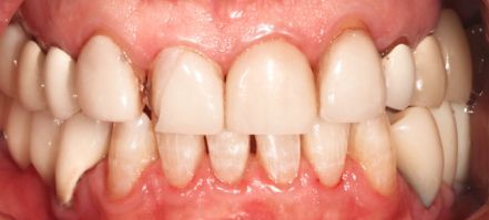
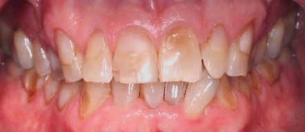
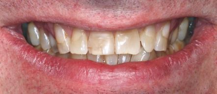
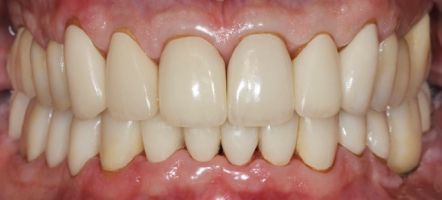
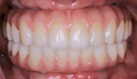
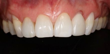
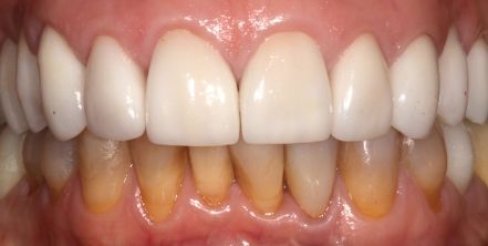
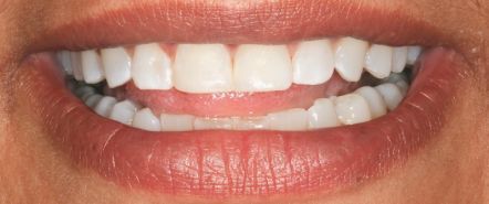
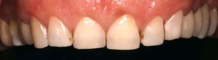
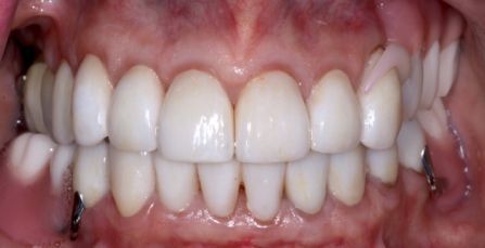
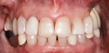
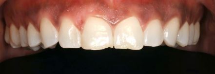
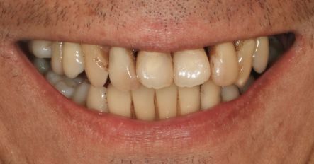
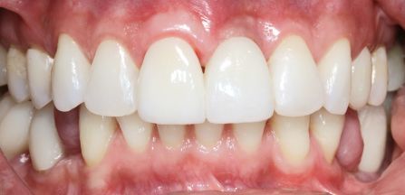
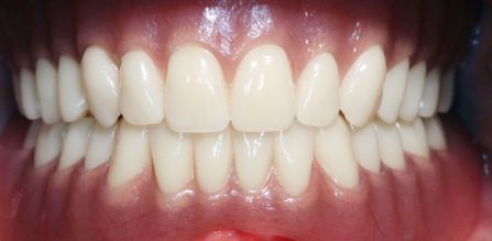
Crowns & Veneers

Porcelain Crowns on the front teeth

Before

After

Before

After

Before

After

Before

After

Before

After

Before

After

Before

After

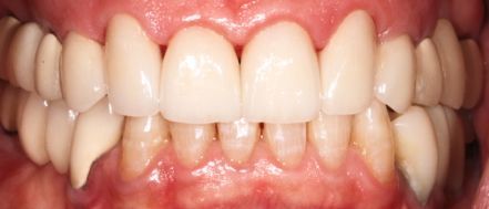
Porcelain crowns and dental implant crowns along with gum lift

Porcelain crowns and dental implant crowns along

with gum lift

Before

After

Before

After

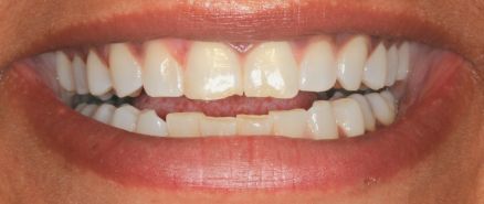
Resin Bonded Veneers ON three lower front teeth

Before

After

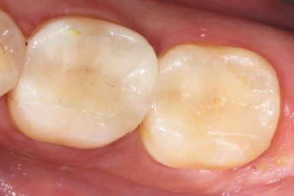
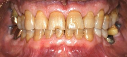
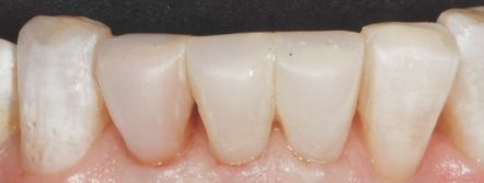
Teeth Colored Fillings

Before

After

Before

After

Before

After

Before

After

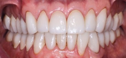
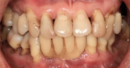
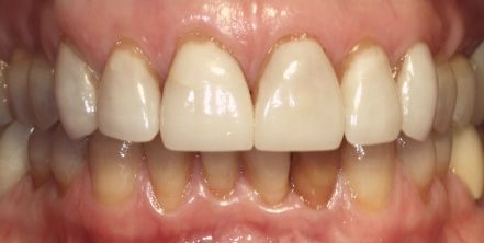
Full Mouth Restoration

Case #1: Porcelain crowns, bridge, veneers and dental implants

Before

After

Before

After

Before

After

Case #2: Porcelain crowns, veneers, dental implants and gum lift

Before

After

Before

After

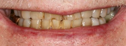
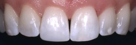
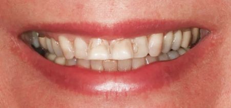
Case #3: Combination of porcelain crowns and veneers after orthodontic treatment to treat severely worn and damaged teeth

Case #3: Combination of porcelain crowns and veneers after orthodontic treatment to treat severely worn

and damaged teeth

Before

After

Before

After

Before

After

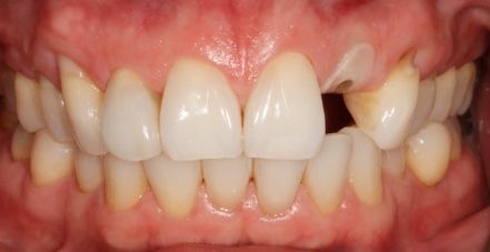
Case #4: Combination of porcelain crowns, bridge, and dental implants to treat severely worn teeth and to replace missing teeth

Before

After

Before

After

Before

After

Temporary crowns and veneers

Case #1: Temporary crowns and veneers on full mouth rehabilitation

Before

After

Case #2: Temporary crowns and veneers on full mouth rehabilitation

Before

After

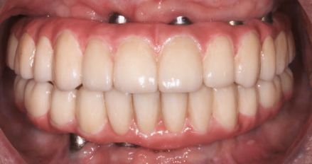
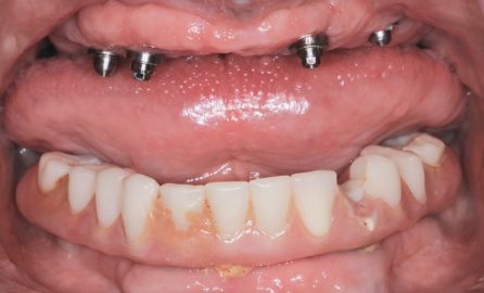
Dentures

Fixed Implant Supported Complete Dentures (all-On-X)

Before

After

Before

After

Before

After

Before

After

Before

After

Removable Dentures

Case#1: Combination of crowns, veneers, and upper & lower removable partial denture

Before

After

Before

After

Before

After

Case#2: Upper & lower removable complete denture

Before

After

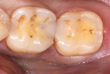
Porcelain Inlays & Onlays

Porcelain Inlays

& Onlays

Before

After